Replace Missing
Tooth

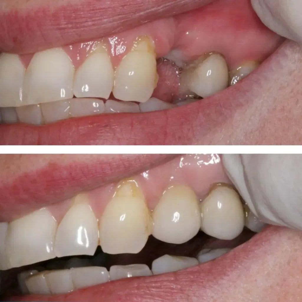
Dental implants provide a LONG-LASTING and NATURAL
solution for missing teeth, restoring both FUNCTION and
CONFIDENCE in your smile. By replacing the tooth root,
implants preserve JAWBONE HEALTH, prevent further tooth
loss, and offer a secure foundation for crowns, bridges, or
dentures, ensuring a COMPLETE and STABLE restoration for a
healthier future.

Safe-Guard
Remaining Teeth

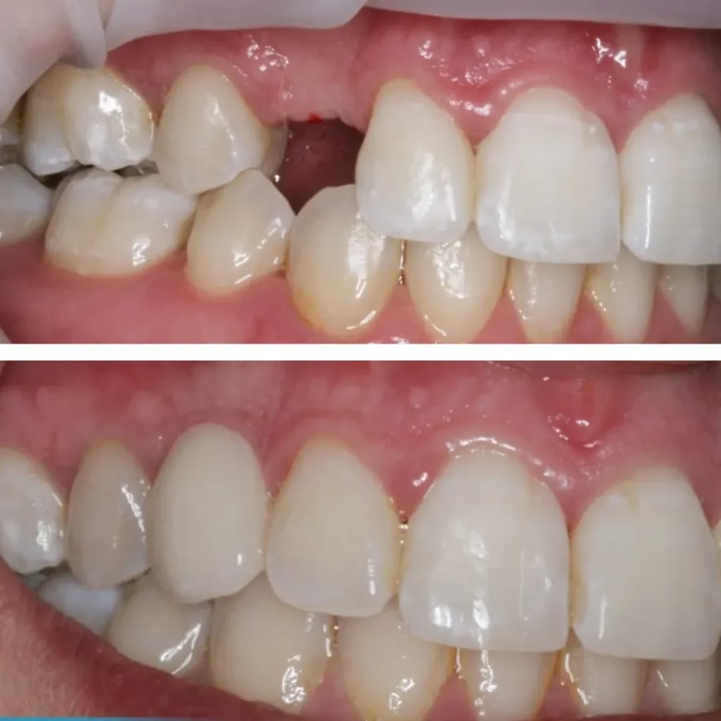
Missing teeth can lead to serious oral health issues, including
“jawbone deterioration” shifting teeth, and further tooth loss.Dental
implants go beyond filling the gap — they replace the entire tooth
structure, keeping your jawbone strong and preventing long-term
complications.Unlike traditional bridges or dentures, implants
stimulate BONE GROWTH and preserve your natural facial
structure.

Dental Implants & When Do You Need One?

Dental implants are permanent, custom-made replacements for missing teeth that look, feel, and function like natural teeth.

Implants will help you:

  1. Replace missing teeth without affecting neighboring teeth

  2. Prevent bone loss and preserve facial structure

  3. Provide strong, stable support for chewing and speaking

  4. Improve appearance, comfort, and confidence

Why people love Icon Smiles Dental?

4.8
Based on 61 reviews
powered by Google
Icon Smiles Dental place picture
4.8
Based on 61 reviews
powered by Google
visa arumugham profile picturevisa arumugham
01:24 14 Nov 25
My first visit to new dentist. Our dentist retired after 22 years. Very impressed with
ICON Smiles! Very impressed with the new dentist Dr. AlBayatti:) My favorite hygienist Linda and front desk Crystal stayed with new dentist! I am so relieved knowing we got a great dentist! Thank you Dr. AlBayatti.
itsitsitsasupra supra profile pictureitsitsitsasupra supra
20:36 25 Sep 25
Very luxurious, good service, Zinah was very nice and they all made sure to take care of me well with good comfort. 10/10
Leonard Obaidi profile pictureLeonard Obaidi
21:24 23 Sep 25
Excellent service and very friendly pricing.
Mary Peter profile pictureMary Peter
00:26 23 Sep 25
Went in for a cleaning and check up. Linda was super nice and did a great job! The doctor was very attentive to my concerns, I would recommend Icon to anyone. I knew the staff from my sister going there and it was a clear choice where I would end up going! Thank you Icon Dental!
Nataskia Lee profile pictureNataskia Lee
02:48 19 Sep 25
I love the Hygienist(sorry forgot her name). She’s very passionate, caring, and informative. She’s the reason that I continue to bring my son to Icon!
mo profile picturemo
03:38 14 Sep 25
Great service
Layla Popo profile pictureLayla Popo
03:37 14 Sep 25
I had the best experience here. They were very through when I was getting my cleaning done. They were gentle and very careful. I will continue to come here
D Andrews profile pictureD Andrews
17:54 13 Sep 25
I've been coming here for over 15 years. What a great bunch of people! We miss Dr. Le but Dr. Albayatti is very nice also.
Ray Z profile pictureRay Z
00:23 19 Aug 25
I had the best experience with Dr.Asra at The Icon Smile! She is extremely professional, knowledgeable, and attentive to every detail. From the moment I walked in, she made me feel comfortable and explained everything clearly. Her gentle approach and expertise truly set her apart, and the results exceeded my expectations.

If you’re looking for a doctor who genuinely cares about her patients and delivers amazing results, I highly recommend Dr. Asra.
Withaq Alhashimi5 profile pictureWithaq Alhashimi5
22:08 07 Aug 25
I had a wonderful experience at this dental clinic! From the moment I walked in, the staff was warm, professional, and very welcoming. The clinic is clean, modern, and equipped with the latest technology, which made me feel confident that I was in good hands.
Dr. Israa was extremely kind, patient, and attentive. They took the time to explain every step of the treatment and made sure I was comfortable throughout the entire process. I truly appreciate how gentle and caring the team was – especially during procedures that usually make me nervous!
I highly recommend this clinic to anyone looking for high-quality dental care in a friendly and comfortable environment. Thank you for taking such great care of me!
Ahmad Al-Sammarraie profile pictureAhmad Al-Sammarraie
18:34 19 Jul 25
This place the best place to take care your smile , Dr.Asra and the staff there are awesome and they doing great job.
The aprove so many insurance. Very recommended 👌.
raba nemri profile pictureraba nemri
23:10 08 Jul 25
Highly recommend Icon Smile Clinic! I had a dental crown and teeth whitening done with Dr. Asra, and both treatments were excellent. She was incredibly professional, gentle, and attentive throughout the entire process. For the crown, Dr. Asra made sure it matched the shape and color of my natural teeth perfectly — it fits comfortably and looks very natural. The teeth whitening gave noticeable, even results without any sensitivity. The clinic is clean, modern, and the entire team is welcoming. I’m very happy with the care I received and the final results!
Marwa Salah profile pictureMarwa Salah
23:41 05 Jul 25
I never thought I’d say this, but I actually enjoyed going to the dentist. From the moment I walked in, the atmosphere felt more like a calming spa than a medical office, kind smiles, zero stress.

[Dr. Asra] isn’t just technically excellent (which she absolutely is)—she is also deeply human. She walked me through everything with patience and clarity, like someone who genuinely wants you to understand your own health, not just fix a problem and move on.

If you're looking for a dentist who treats you like a person, not just a patient, this is the one.
Adam Aser profile pictureAdam Aser
23:27 05 Jul 25
I had an exceptional experience at this dental clinic! From the moment I walked in, the staff made me feel so welcome and comfortable. Dr.Asraa did an amazing job and showed incredible skill and care throughout my visit. The clinic is spotless, and my appointment was efficient and smooth. I highly recommend them

Dr. Asra, and The Team

Prioritizes your comfort and confidence, offering a supportive and friendly environment.

Icon Smiles Dental is located at 305 Spring Creek Pkwy, Suite 100A, Plano Texas 75023. Our practice is part of a friendly neighborhood that values health and wellness, making it an ideal place for families and individuals seeking comprehensive dental care.

Trust Dr. Asra

Because Your Smile and Oral Health Deserves Nothing but the Best

Dr. Asra, DMD, is highly regarded dentist who is dedicated to providing exceptional dental care. with years of experience and a patient-first approach

  • Veneers Cosmetic Procedures
  • Missing teeth reconstruction
  • Single tooth restoration
  • Root Canal Therapy
  • Scaling and Root Planning
  • Painless extraction

Comprehensive Evaluation

During this visit, you'll receive a complete examination, 3D scan, and personalized treatment plan.
We'll also verify your insurance benefits and discuss flexible payment options to fit your budget.


Over 50+ Dental Insurance Accepted

Icon Smiles Dental is In Network Provider with more than 50 dental insurance Carriers PPO Plans. We file insurance claims as a convenience to you and will work with you to understand your benefits coverage and how to apply to achieve optimum dental and financial health.

Our Dental Articles 

Explore expert tips, oral health advice, and the latest updates in dental care.

Frequently Asked Questions About Dental Bridge

Yes! Our bridge () and crown () fees include everything: all consultations, x-rays, preparation, temporary restorations, the final bridge or crown, and adjustments. There are no hidden fees or additional charges.

 

Most dental insurance plans cover 50-80% of bridges and crowns as they're considered major restorative procedures. We'll verify your benefits before treatment and typically see insurance coverage ranging from $450-$720 for crowns and $1,300-$2,080 for bridges. We handle all the paperwork to maximize your coverage.

 

We want to make your tooth replacement affordable, so we offer several payment solutions: 0% interest financing for 24 months through CareCredit, monthly payment plans as low as $108, and accept all major credit cards

 

Most patients are surprised by how comfortable the procedure is. We use local anesthesia to ensure you don't feel any pain during treatment. Any post-procedure sensitivity typically resolves within a few days and can be managed with over-the-counter pain medication.

 
 

A bridge is designed to replace missing teeth by anchoring to healthy teeth on either side. Crowns are individual caps that restore damaged teeth but can't span gaps. We'll recommend the best option based on your specific situation during your consultation.

 
 

With proper care, bridges and crowns typically last 10-15 years or longer. Many of our patients have had their restorations for 20+ years with good maintenance.

 
 

Absolutely! We use advanced color-matching technology and premium porcelain materials to ensure your restoration blends seamlessly with your natural teeth. Most people can't tell which tooth has been restored.

 
 
 

Yes! Once your permanent restoration is placed, you can eat all your favorite foods. Our bridges and crowns are designed to function just like natural teeth, restoring full chewing ability.

 
 
 
 

While the porcelain itself can't decay, the natural tooth underneath can. That's why good oral hygiene is essential for long-term success.

 
 
 
 
 

We'll need to address any active gum disease before placing your bridge or crown to ensure the best long-term results. This may require some preliminary treatment.

 
 
 
 
 

Your first visit includes:

Comprehensive examination

Digital x-rays

Discussion of your goals

Treatment plan creation

Insurance verification

Review of payment options

Answering all your questions

 
 
 
 
 

"Super friendly staff, great dental advises, and they went out of the ordinary to make me feel comfortable"

305 Spring Creek Pkwy, Suite 100A, Plano Texas 75023

Copyright Icon Smiles Dental. All Rights Reserved 2025